Diabate Neurosurgery Institute

D I A B A T E

Advances in Fetal Neurosurgery: Transforming Outcomes in Maternal-Fetal Medicine

  • Home
  • Blog
  • Advances in Fetal Neurosurgery: Transforming Outcomes in Maternal-Fetal Medicine
Advances in Fetal Neurosurgery: Transforming Outcomes in Maternal-Fetal Medicine

Introduction

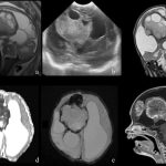
The intersection of neurosurgery and maternal-fetal medicine has seen remarkable progress in recent years, particularly with prenatal interventions for congenital neural tube defects like myelomeningocele (the most severe form of spina bifida). These advancements offer hope for improved neurological outcomes while carefully balancing maternal and fetal risks.

Management

The landmark Management of Myelomeningocele Study (MOMS) in 2011 established that open fetal surgery before 26 weeks gestation significantly reduces the need for postnatal shunting for hydrocephalus, reverses hindbrain herniation, and improves motor function compared to postnatal repair. Since then, research in 2024–2025 has focused on refining techniques to minimize maternal complications, such as shifting toward fetoscopic repair—a minimally invasive approach using small incisions and endoscopes.

Recent studies highlight fetoscopic methods achieving comparable neurological benefits with lower risks of preterm labor and uterine dehiscence. For instance, multi-center reviews and single-institution series report higher rates of hindbrain herniation reversal and reduced CSF diversion needs, while innovations like human umbilical cord patches and standardized multi-layer closures are enhancing durability and outcomes.

  • Expert Neurosurgical Care
  • Minimally Invasive Techniques
  • Advanced Diagnostic Tools
  • Precision Brain & Spine Surgery
  • Compassionate Patient Support
  • Personalized Treatment Plans
  • Cutting-Edge Technology
  • Commitment to Optimal Outcomes

Emerging areas include exploratory fetal interventions for isolated hydrocephalus (e.g., endoscopic third ventriculostomy in animal models) and stem cell-augmented repairs, though these remain investigational. Multidisciplinary teams involving maternal-fetal medicine specialists, pediatric neurosurgeons, and anesthesiologists are key to success, performed only in high-volume centers.

These developments underscore a shift toward personalized, less invasive prenatal care, offering families better prognostic counseling and long-term quality of life for affected children.

quote
We push the limits of what’s possible for our patients. Our patients are our first Priority. We can go far for this at any cost.
DR. S Diabate

Conclusion

The latest research in fetal neurosurgery within maternal-fetal medicine is revolutionizing care for congenital defects like spina bifida, with fetoscopic techniques leading the way toward safer, more effective interventions. At Diabate Neurosurgery Institute, we stay abreast of these global advancements to inform our practice and provide the highest standard of compassionate, evidence-based care. If you’re expecting and facing a fetal neurological diagnosis, early consultation can open doors to the best possible options—reach out to us today.

SHARE THIS ARTICLE

Leave a Reply

Your email address will not be published. Required fields are marked *